Smile Gallery Austin
Changing Lives with High-Quality Dentistry
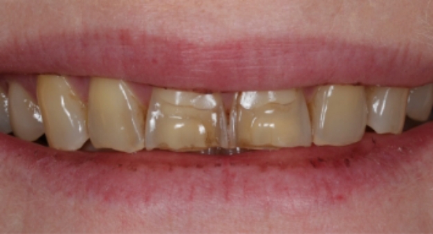
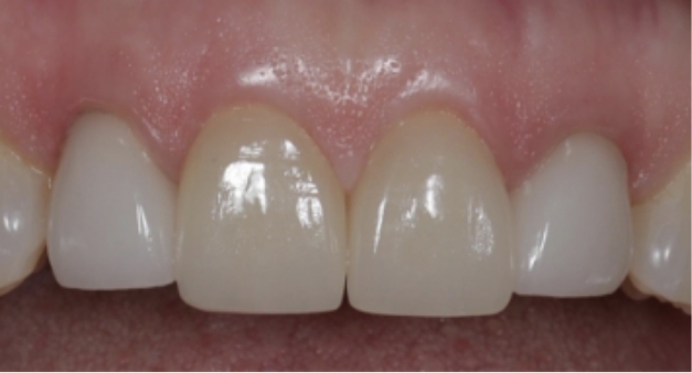
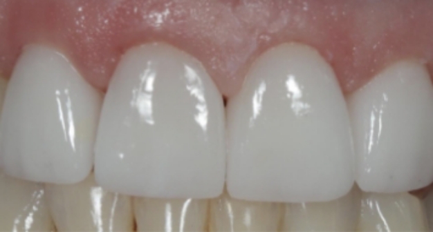
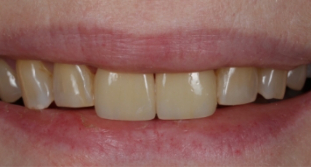
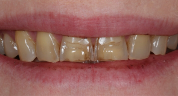
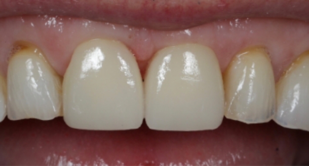
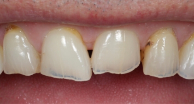
Dr. Pevzner and our experienced team at Highland West Dental Care have helped thousands of patients rebuild and rejuvenate their smiles over the years. You can take a look at some impressive real-life smile transformations we’ve done by scrolling through our smile gallery below. If you have any questions or would like to start your own journey, schedule a consultation with our Austin dental team today!
More to Explore
About Us Meet the Dentist Meet the Team Tour Our Office Advanced Dental Technology View Our Services

